|
|
 |
平時沒症狀卻罹患C肝肝癌! 健檢救命揪”肝”心 TNN |
| |
【記者 玉女 台中 報導】
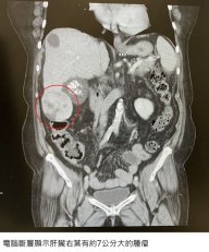
一名69歲陳姓婦人,日前體檢抽血報告顯示C肝病毒量和肝癌指數都偏高,超音波檢查時發現肝臟右葉有約7公分大的腫瘤,至長安醫院肝膽腸胃科就診,進一步安排電腦斷層確診為肝細胞癌。所幸癌細胞並未擴散,...(詳全文) |
|
|
| |
|
| |
|
|
 |
110年臺中市議長盃土風舞 創意舞蹈觀摩競賽樂在其中 TNN |
| |
【記者 玉女 台中 報導】
由臺中市議會、臺中市政府運動局、臺中市體育總會主辦,臺中市體育總會土風舞委員會承辦,西屯區公所協辦的110年臺中市議長盃土風舞創意舞蹈觀摩競賽27日下午兩點在何德福德宮土地公廟旁何德公園籃球場...(詳全文) |
|
|
| |
|
|
 |
張國二展現回歸內心單純的美好 TNN |
| |
【記者 玉女 台中 報導】
臺中市政府文化局主辦的第11屆臺中市美術家接力展,即日起在葫蘆墩文化中心由藝術家張國二個展「初心」壓軸登場,文化局局長陳佳君今日出席開幕式表示,臺中市美術家接力展自臺中縣時代開始到縣市合併33...(詳全文) |
|
|
| |
|
|
 |
有您真好!移民署舉辦新住民感恩音樂派對周末登場 TNN |
| |
【記者 玉女 台中 報導】
隨著令人雀躍聖誕採購季節正式的展開,意味著西洋感恩節的來。值此感恩季節,移民署中區事務大隊臺中市第二服務站特別於本月 27 日假臺中市大雅區清泉崗微型創業中心舉辦「多元文化感恩音樂會」。音樂會...(詳全文) |
|
|
| |
 |
|
|
|
 |
產官學推動衛生自主管理評核 朝陽科大輔導逾百家業者通過 TNN |
| |
【記者 玉女 台中 報導】
為提升衛生管理品質,朝陽科技大學承接食安處之「110年食品業者衛生自主管理評核計畫」,近期協助業者完成快篩,檢驗項目共計294件,其中包含過氧化氫、二氧化硫、酸價、總極性化合物及萊克多巴胺等項...(詳全文) |
|
|
| |
|
|
 |
弘光科大校慶表揚傑出校友 鄭聿淩甫獲醫療奉獻獎 TNN |
| |
【記者 玉女 台中 報導】
弘光科技大學27日熱鬧舉辦54週年校慶活動,並表揚7位傑出校友。其中健康事業管理系校友鄭聿淩,目前擔任彰化縣線西鄉衛生所護理長,堅信「預防勝於治療」,不厭其煩打電話提醒民眾健檢,說服診所、藥局...(詳全文) |
|
|
| |
|
|
 |
2021年世界肺友日暨「肺友會」活動 TNN |
| |
【記者 玉女 台中 報導】
慢性阻塞性肺病(COPD)簡稱肺阻塞,是一個與長期吸菸、接觸二手菸,或暴露於污染空氣有關的肺部疾病。根據衛生福利部2018年統計18歲以上人口目前吸菸率為13%,許多病人在年輕時開始抽菸,中年...(詳全文) |
|
|
| |
|
|
 |
疫後旅遊復甦 朝陽觀光中高階人才數位轉型培訓受好評 TNN |
| |
【記者 玉女 台中 報導】
疫情趨緩,國內旅遊逐漸復甦,為了全面輔導產業因應市場變化進行數位轉型及提升國旅品質,交通部觀光局特別委託朝陽科技大學辦理「觀光產業中高階人員數位應用及疫後管理課程」,邀請雄獅集團總經理黃信川、...(詳全文) |
|
|
| |
|
|
 |
奧地利指揮家阿爾明12月與國臺交臺北、臺中連演兩套 TNN |
| |
【記者 玉女 台中 報導】
國立臺灣交響樂團(簡稱「國臺交」)將於2021年12月11日及12日,分別在國家音樂廳及國立臺灣交響樂團演奏廳演出「水邊的遐想—克里斯蒂安.阿爾明與國臺交」音樂會。緊接著在12月1...(詳全文) |
|
|
| |
| 目前在第 382 頁 , 共 3794 頁 , 共 37934 筆第一頁 上十頁 上一頁 381 【382】 383 384 385 386 387 388 389 390 391 下一頁 下十頁 最後頁 |